Thursday, July 19, 2012

11 weeks 3 days

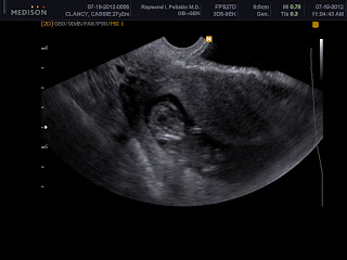
Wahooooooo! I had another ultrasound today, and Bill Murray Jr. is looking fabulous and healthy and growing right on track! Its heart rate is 177bpm! **insert "omg" face here** I was amazed to see the heart rate at 6 weeks exactly, but it seemed low at 93bpm. Then I was floored to see an increase up to 146bpm at 7 weeks 3 days and I thought, "Ehh..it might get a little higher." Now at 177?! Wow! I am so happy with that! Boobaloo, Mommy is very pleased with your progress! The baby was waving arms and legs around, and kept moving, wiggling, dancing around. At one point the doctor went in at one angle for a screen shot or measurement, and then before he could finish, the baby had turned completely around. Maybe he/she will have the dancing skills that Daddy has. ;-)

In the photos below, you can make out a face (always the scariest shot that an ultrasound can pick up, in my opinion), a body, arms, and legs that look more like knees with the feet disappearing behind/below. All baby, no more BLOB!





How many weeks today: 11 weeks and 3 days!

Baby is the size of: LIME! Almost the size of a plum.

Total weight gain/loss: I have broken even. I gained the weight loss back, but no weight gain over my initial weight.

Maternity clothes: None, although I will gladly wear oversized t-shirts and yoga pants all day every day.

Cravings: Just food in general! I will still eat anything. And everything.

Aversions: None. Even the salmon oil we give the dogs doesn't bother me anymore.

Mood: Pretty upbeat and happy! And less irritable! :-)

Physical symptoms: Since I was sick with all that stuff last week, it's hard to measure my energy. I honestly think it's slightly better than my first weeks. I'm still tired, but less tired. No longer using the word "exhausted". My stomach is a roller coaster of so many enjoyable symptoms, my cramps are present and ruling my days and nights, and I lost the soreness that I initially complained about that required sleeping in sports bras. Aside from the daily cramps (which my doctor assures me are normal), I am starting to feel like my old self. Oh but my good ol' friend Heartburn did move in on Monday and brought its buddies Acid Reflux and Indigestion. Still not suffering from morning sickness, so I am thankful for what I've been dealt.

Miss anything: Did I mention SUSHI?!?! I cheated. I had a little sushi. I even had a day in which two meals were lots of seafood. And I had Diet Coke. And had a round of antibiotics last week. I'm just breakin' all the rules lately! But still taking care of myself and being cautious without letting it rule my daily life. I saw someone in my pregnancy group app said, "I know we aren't supposed to have soft-serve ice cream, but I couldn't help myself!" Wait wait wait.... that's a new one for me. Because women have been doing this for way too long, and women even drank and did some serious drugs while pregnant, and some women do not even know they are pregnant until after the point I have reached now, I don't feel so badly about a Diet Coke. ONE Diet Coke. ONE bite of raw tuna before I go back to my baked roll or California roll. Baby is doing just fine and actually appreciated the raw tuna. I just know it.

Showing yet: Not yet! At least not to everyone else. I personally notice a little more of a bulge in the belly, but not much.
Labor signs: Not for awhile!

Baby movement: No :-( just plenty of cramps to remind me that it's growing and it's making my uterus stretch and grow.

Wedding rings on or off: On!
Items purchased for baby this week: Nothing. Still being good in that regard. It's so tempting though!

How is Daddy doing: Daddy is right there alongside me with feelings of anxious nervousness before appointments, and then absolute happiness once we get the confirmation that all is well and we need to stop worrying! He finished one of his daddy books and while he did claim he can write a more humorous and better-formatted book for fathers-to-be, he did also admit that he learned quite a bit. When I complained of heartburn earlier this week, he was quick to tell me, "Oh I just read about that!" He is attending as many doctor appointments as he can, and has gotten used to referring to the baby and "the three of us" and tells the baby he loves it. We discuss the future daily, and it's always positive and happy and hopeful.

Favorite moment this week: Definitely today, as my doctor began the ultrasound and at first I didn't see anything and then I saw a big ol' head, a body, arms, legs, and a beating heart! I was so relieved, and so happy and excited!

Looking forward to:  Finding out the gender.... ooooh so soon!

No comments:

Post a Comment